Кариесът е най-разпространеното в световен мащаб инфекциозно заболяване, което не зависи от пол, възраст или социално-икономически статус.
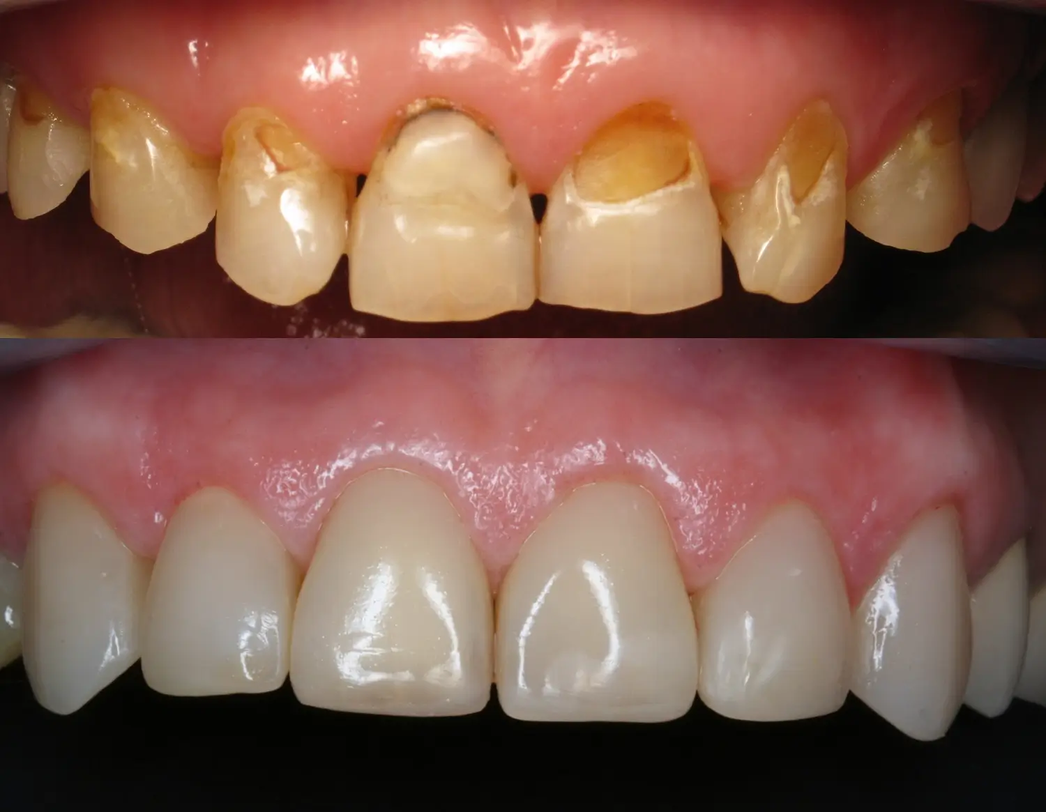
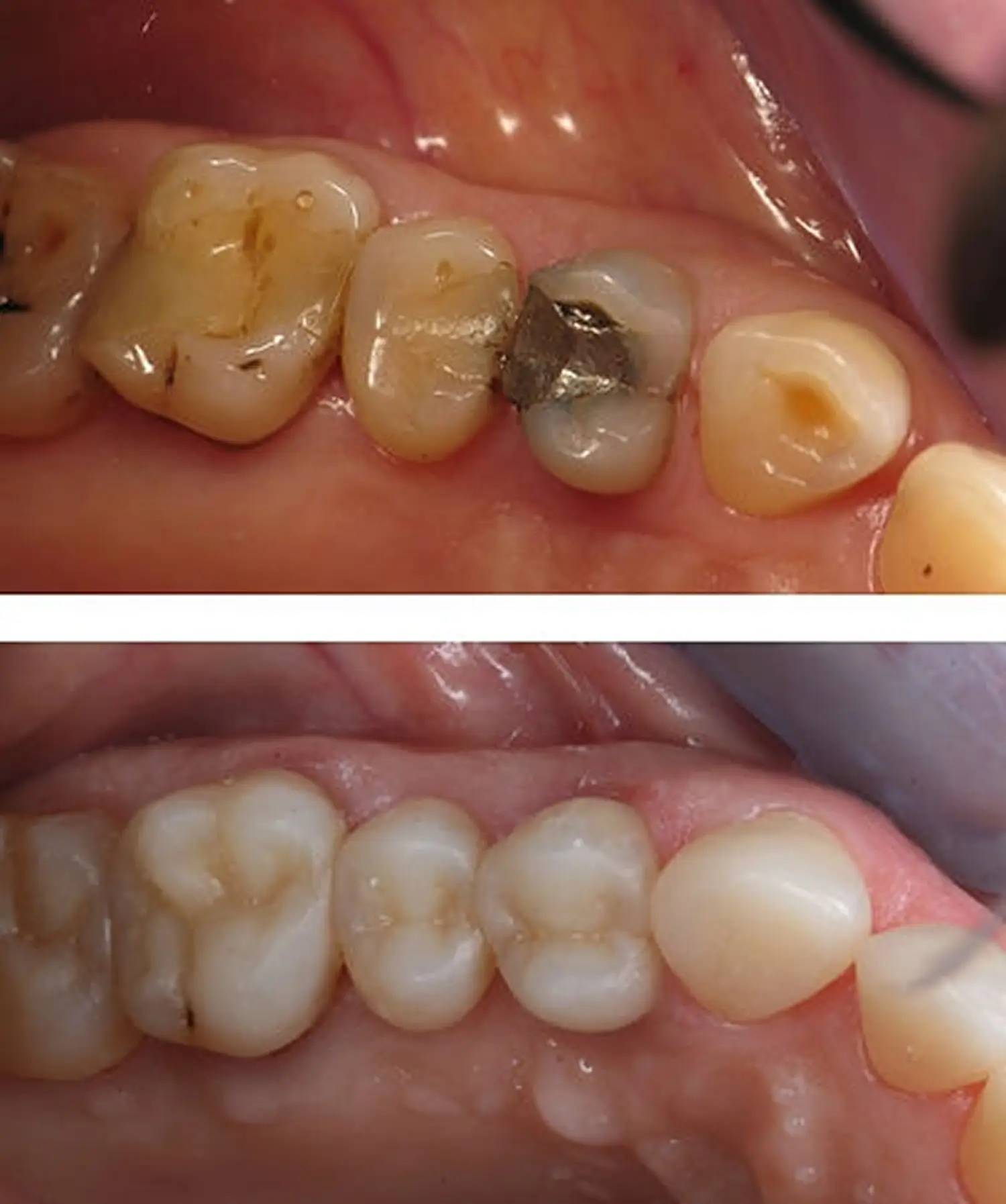
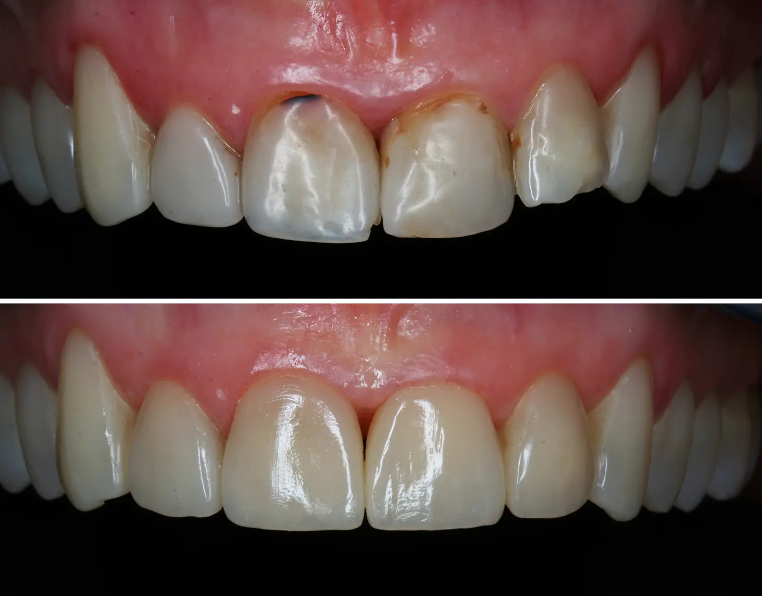
Кариесът е процес на загуба на зъбна тъкан в резултат от дейността на специфични бактерии. Започва с киселинна атака на повърхността на зъбния емайл, без да причинява болка. Началото е едва забележимо „петно“ върху емайла, който е деминерализиран от бактериите. Само стоматолог може да го открие на този етап, а с напредване на времето петното се превръща в грапавина, кухина и накрая може да се усети като липсваща част от зъба – дълбок кариес, който причинява чувствителност и болка. Съвременното лечение на кариеси изисква анатомично възстановяване на зъбите по принципите на биомиметика. Ние не използваме амалгама и химиополимери, работим с фотополимерни и нанокомпозитни материали, при които микропропускането е сведено до минимум. По време на работа поставяме упойка и кофердам, който изолира зъбите и осигурява контрол на влажността.
Важно е да се разпознае дълбокия кариес възможно най-рано. Нелекуваният кариес води до пулпит или гангрена. Това са усложнения за зъба, които налагат кореново лечение или екстракция.
Недобра устна хигиена, включваща неправилно миене на зъби
Честа консумация на сладко
Недостиг на флуор
Не. В началото кариесът може да няма никакви симптоми. Болка се появява, когато увреждането достигне по-дълбоките слоеве на зъба.
Не. Веднъж образуван, кариесът трябва да бъде лекуван от зъболекар. В много ранна фаза понякога е възможно да се предотврати развитието му с добра хигиена и флуорна профилактика.
Не само голямото количество шоколад е виновник. Всякакви въглехидрати (хляб, чипс, сокове и газирани напитки) могат да допринесат за образуването на кариес, в допълнение и с нередовно миене на зъби.
Не, това не е вярно. Кариесите на детските (млечните) зъби трябва да се лекуват. Нелекуваният кариес може да доведе до силна болка, подуване, инфекция (абсцес). Под млечните зъби се намират постоянните. Инфекцията от млечния зъб може да увреди развиващия се постоянен зъб.
Най-честото лечение на кариеса, когато няма усложнения откъм корена на зъба това е обтурацията или така наречената пломба. Зъболекарят почиства кариеса със специални инструменти, премахва разрушената тъкан и запълва мястото с биоидентичен материал, като по този начин зъбът възстановява формата и функцията си.
При нужда от повече информация, не се колебайте да се свържете с нас.



