Корони – циркoниеви и e-max

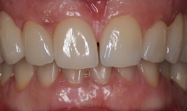
Порцелановите (e-max) корони и тези от циркониев оксид с порцеланово покритие са безметални конструкции. Липсата на метал при изработката им ги отличава от класическите металокерамични корони. Чрез тях постигаме най-висока естетика поради факта, че химическата структура и физическите качества на порцелана са най-близки до естествената структура на зъбния емайл.

В кои случаи се препоръчва?

Безметални корони препоръчваме във всички случаи при възстановяване на силно разрушени предни (фронтални зъби), заради максималната естетика, която можем да получим

Короните от циркониев оксид с нанесена керамика са много подходящи при пациенти с алергии

Изключително добро повлияване имат и пациентите с пародонтални заболявания (пародонтоза)

При силно разрушени или отчупени зъби

При зъби с големи пломби и отслабена зъбна структура

При умъртвени (ендодонтски лекувани) зъби с риск от счупване

Предимства пред останалите методи за възстановяване на фронтални зъби

  • Покриват целия зъб, осигурявайки цялостна защита
  • Висока здравина и устойчивост на износване
  • Запазват цвета и блясъка си много дълго във времето
  • По-подходящи при силно увредени и умъртвени зъби
  • Позволяват по-голяма корекция на форма, позиция и захапка

Често задавани въпроси

Ще изглежда ли короната естествено?

Да. Съвременните корони (особено керамичните и циркониевите) се изработват така, че да възстановят естествения цвят, прозрачност и форма на зъба.

Най-често се препоръчват:

  • Циркониеви корони + нанесен порцелан
    Те са естетични, без метал и не прозират с времето.
  • Изцяло керамични корони

Средно 10–12 години, а често и повече, зависи от здравето на венците.

Не. Подготовката се извършва с лека местна упойка, така че пациентът не усеща болка. Възможна е лека чувствителност след това.

Да, предварително се прави избелване на зъбите с професионална избелваща система в домашни условия. Цветът се избира индивидуално с участието на пациента.

Имате още въпроси?

При нужда от повече информация, не се колебайте да се свържете с нас.