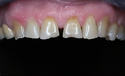
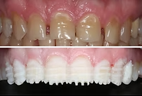
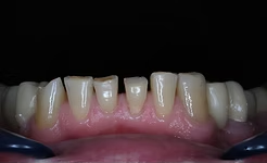
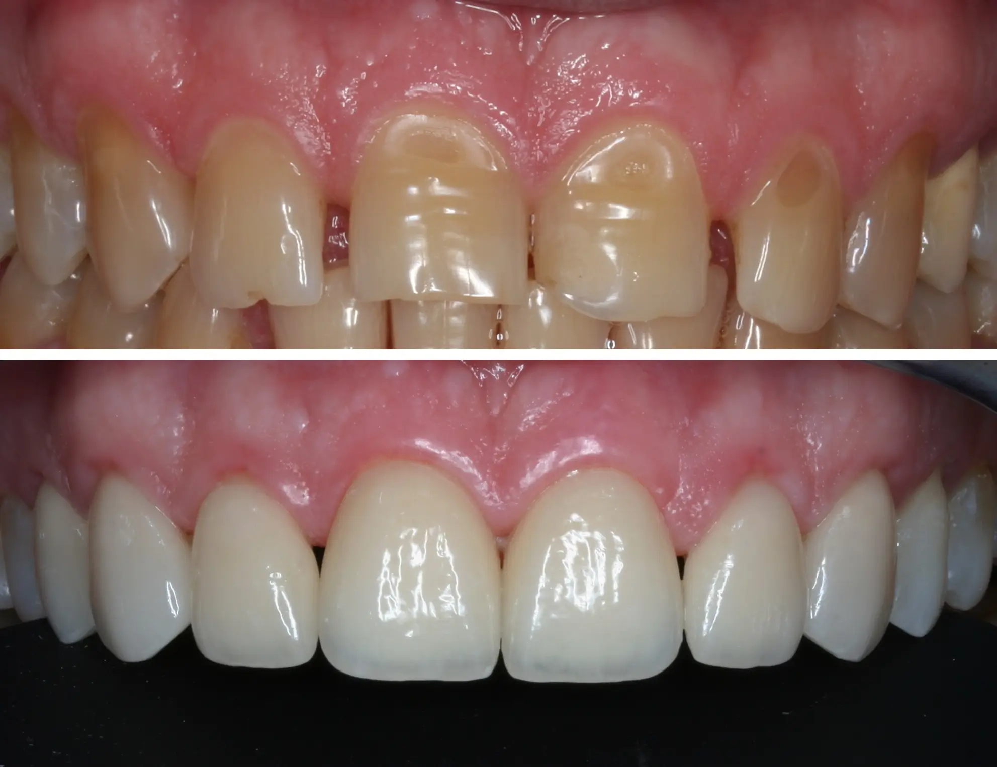
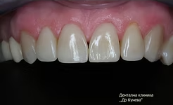
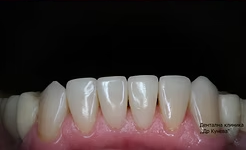
Зъбните фасети представляват дискретни фини пластинки, които се поставят върху предната част на зъбите, за да придадат нов, по-естетичен вид на усмивката. Изработени от порцелан или композитен материал, фасетите са замислени така, че да имитират естествения блясък и цвят на зъбите, като в същото време коригират различни визуални дефекти. Те се отличават с изключителна здравина и устойчивост, както и с възможността да имитират естествения цвят, прозрачност и текстура на зъбите, което ги прави едно от най-естетичниo-лечебни решения в денталната медицина.
Фасетите са лечебен метод, чрез който могат да се подобрят само малки дефекти на фронталните (предни) горни и долни зъби на пациента. За по-големи дефекти и необходимост от промяна се ползват корони и полукорони.
Отчупвания и износвания, малки пукнатини
Пожълтяване или петна по зъбите
Малки пукнатини, неравности или износване на зъбната повърхност.
За промяна в размера на зъбите, когато те изглеждат прекалено малки или имат нежелана форма
Можете да си запишете час при нас на място, ако ни се обадите по телефона или ни пишете на ел.поща чрез формата за контакт, която ще намерите на сайта. Работим само с предварително ангажирани часове. Времето, което отделяме за първоначален преглед, е 60 мин. Извършваме пълен зъбен статус, правим професионални фотоснимки и необходимите рентгенови снимки. На базата на тази информация изготвяме индивидуален лечебен и финансов план, който обхваща всички етапи на бъдещото лечение.
Има два вида фасети според материала за изработка:
Композитните имат 2 подвида:
Кой вид фасети да избера?
Изборът на техника зависи от конкретния случай и се обсъжда подробно с пациента по време на прегледите.
Ние препоръчваме композитните фасети като най-щадящ метод. Порцелановите фасети имат по-добър блясък и стабилност на цвета във времето, но изискват предварително изпиляване на зъба.
При нужда от повече информация, не се колебайте да се свържете с нас.



