Кога да посетим ортодонт?

 Кога е подходящ момент за консултация с ортодонт?

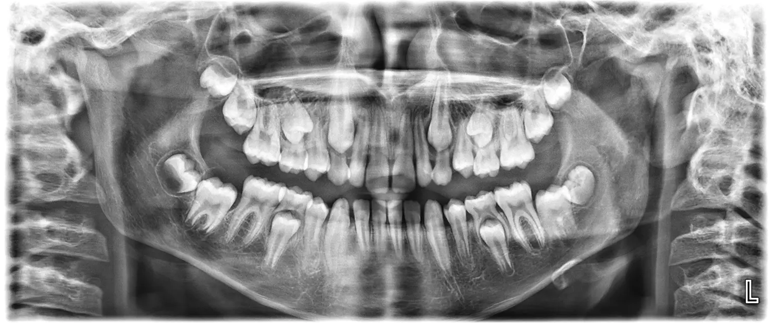
По време на профилактичните прегледи, ние ще следим и ще Ви информираме дали Вашето дете има нужда от ортодонтски преглед. Проследяването на пробива на млечните и постоянните зъби ни позволява да установим навреме отклонения в подреждането, липса на място, задържани зъби или неправилна захапка. Ранната диагностика дава възможност за по-лесна и щадяща корекция и често предотвратява по-сериозно ортодонтско лечение в бъдеще.


Първата консултация с ортодонт е препоръчителна около 6–7-годишна възраст, когато започва смяната на зъбите. Дори да няма видим проблем, ранният преглед позволява да се оцени развитието на челюстите и захапката. При нужда може да се предприеме ранно лечение, което да улесни или съкрати бъдещата терапия.